Ottenere denti più bianchi non è mai stato così semplice!
Ci sono un’infinità di metodi casalinghi e terapie fai da te che si possono trovare in commercio.
Non consigliamo assolutamente questo tipo di approccio. Se si vuole ottenere un risultato garantito, senza rischiare di ledere i delicati tessuti gengivali o lo smalto dei denti, bisogna per forza affidarsi a dei professionisti.
Le soluzioni di sbiancamento dentale
Ai nostri pazienti proponiamo 2 soluzioni:
per un risultato rapido si può effettuare uno sbiancamento in studio. Se si ha fretta, in questo modo si possono avere denti splendenti in meno di un’ora di trattamento.
per un
risultato più consolidato consigliamo lo sbiancamento domiciliare con mascherine da portare durante la notte. In
10 – 14 giorni si può ottenere il sorriso dei propri sogni, mentre si dorme!
Casi particolari e approccio combinato
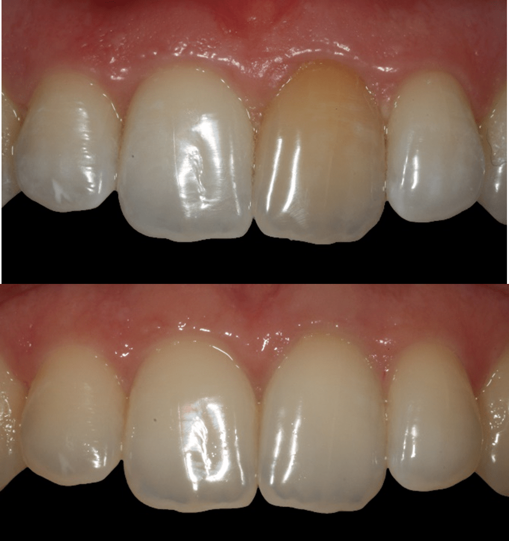
Ci teniamo a sottolineare che a volte i denti che hanno subito un trauma o sono devitalizzati, diventano scuri con il passare del tempo e possono risultare molto antiestetici.
Il consiglio che diamo ai nostri pazienti è di effettuare un approccio sbiancante sia fuori che all’interno del dente, in modo da massimizzare l’effetto. Guarda i nostri casi clinici!
Prenota lo sbiancamento dentale
Contattaci per lo sbiancamento dentale e scegli il trattamento più adatto per ottenere denti più bianchi in sicurezza.
Lo sbiancamento dentale è sicuro?
Sì, se eseguito da professionisti permette di ottenere risultati senza danneggiare gengive o smalto.
Meglio sbiancamento in studio o domiciliare?
Dipende dall’obiettivo: in studio è più rapido, domiciliare è più graduale e consolidato.
Quanto dura il trattamento domiciliare?
Generalmente tra i 10 e i 14 giorni, utilizzando le mascherine durante la notte.
I denti devitalizzati possono essere sbiancati?
Sì, con un approccio che agisce sia all’esterno che all’interno del dente.
I metodi fai da te funzionano?
Non sono consigliati perché possono danneggiare i tessuti gengivali e lo smalto.
E se ho il rigetto?
Il rigetto in implantologia semplicemente non esiste: si parla di viti in titanio, non di organi da trapiantare. Tuttavia è documentato che in circa un caso su cento la vite non si attacca all’osso. E quindi? Al massimo te la rimettiamo a costo zero.







